تُعدّ أمراض القلب والأوعية الدموية من أكثر المشكلات الصحية انتشارًا على مستوى العالم، وتمثل سببًا رئيسيًا للوفاة المبكرة إذا لم يتم اكتشافها في الوقت المناسب.
ومن هنا تأتي أهمية شهر التوعية بصحة القلب في تعزيز ثقافة الفحص المبكر، وتسليط الضوء على الدور المتقدم الذي تلعبه فحوصات القلب بالأشعة في تشخيص أمراض القلب بدقة عالية ووضع الخطة العلاجية المناسبة في وقت مبكر.
في هذا المقال من برفكت سكان نستعرض أهم تقنيات تصوير القلب الحديثة، ودورها في رفع كفاءة التشخيص وتحسين جودة حياة المرضى.
أهمية فحوصات الأشعة في تشخيص أمراض القلب
تمثل فحوصات الأشعة القلبية حجر الأساس في تقييم بنية القلب ووظائفه وحالة الشرايين والأوعية الدموية، حيث تساعد الأطباء في:
- الكشف المبكر عن أمراض القلب والشرايين
- متابعة الحالات القلبية المزمنة
- تقييم فعالية العلاج الدوائي أو التدخلي
- تحديد درجة الخطورة ووضع خطة علاج دقيقة
وتتميز تقنيات التصوير الحديثة بالدقة العالية وسرعة الحصول على النتائج مع الحفاظ على أعلى معايير الأمان.
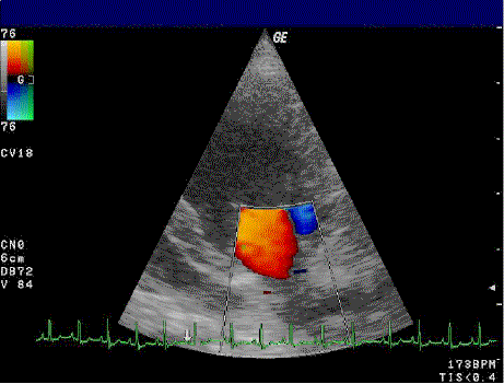
فحص الإيكو على القلب (Echocardiography)

يُعد فحص الإيكو على القلب من أهم وأشهر فحوصات القلب غير التداخلية، ويعتمد على الموجات فوق الصوتية لإظهار صورة حية لعضلة القلب والصمامات وتدفق الدم.
ويُستخدم فحص الإيكو للكبار والأطفال في العديد من الحالات، أبرزها:
- تقييم كفاءة عضلة القلب وقوة ضخ الدم
- تشخيص أمراض صمامات القلب
- اكتشاف العيوب الخلقية بالقلب لدى الأطفال
- متابعة حالات ضعف عضلة القلب
- تقييم تأثير ارتفاع ضغط الدم على القلب
يوفّر مركزنا فحص الإيكو للأطفال والكبار باستخدام أحدث أجهزة الموجات فوق الصوتية، مع مستوى عالٍ من الدقة التشخيصية وتحت إشراف نخبة من أطباء الأشعة والقلب.
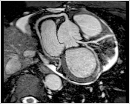
الرنين المغناطيسي على أنجيو الشرايين (MR Angiography)



يُعد الرنين المغناطيسي على أنجيو الشرايين من أحدث تقنيات تصوير الشرايين والأوعية الدموية، حيث يتيح تقييمًا دقيقًا للشرايين التاجية والأوعية الكبرى دون الحاجة إلى تدخل جراحي أو قسطرة.
يساعد هذا الفحص المتقدم في:
- تشخيص ضيق وانسداد الشرايين التاجية
- تقييم أمراض الأوعية الدموية المختلفة
- متابعة حالات تصلب الشرايين
- دعم التشخيص الدقيق ووضع الخطة العلاجية المناسبة
ويتميّز الرنين المغناطيسي على أنجيو الشرايين بأنه:
- عالي الدقة في إظهار تفاصيل الأوعية الدموية
- آمن في كثير من الحالات مقارنة بالفحوصات التداخلية
- مناسب للمتابعة طويلة المدى لبعض مرضى القلب والشرايين
التشخيص المبكر لأمراض القلب… مفتاح الوقاية وحياة أفضل
يساهم التشخيص المبكر لأمراض القلب في تقليل المضاعفات الخطيرة مثل الجلطات القلبية وقصور القلب، كما يساعد على تحسين فرص العلاج ورفع جودة الحياة على المدى الطويل.
لذلك يُنصح بإجراء فحوصات القلب والأشعة التشخيصية بشكل دوري، خاصةً لدى:
- مرضى ارتفاع ضغط الدم
- مرضى السكري
- الأشخاص الذين يعانون من السمنة أو التدخين
- من لديهم تاريخ عائلي لأمراض القلب
التزامنا خلال شهر التوعية بصحة القلب
في شهر التوعية بصحة القلب، نؤكد التزامنا بتقديم خدمات أشعة القلب المتكاملة باستخدام أحدث التقنيات في:
- الإيكو القلبي
- الرنين المغناطيسي على الشرايين
- فحوصات تقييم القلب والأوعية الدموية
وذلك وفق أعلى معايير الجودة والسلامة، وبهدف دعم التشخيص المبكر والمساهمة الفعالة في الوقاية من أمراض القلب.
صحتك القلبية تبدأ بخطوة فحص… لا تؤجل الاطمئنان على قلبك.